歯 を 磨 かない 人

歯磨きしないときつい口臭に その他のリスクと適度な磨き方 歯のアンテナ

歯磨きしないときつい口臭に その他のリスクと適度な磨き方 歯のアンテナ

歯は磨かないでください 歯周病を治すと 全身が健康になる 廣済堂健康人新書 豊山 とえ子 近藤隆一 本 通販 amazon

歯は磨かないでください 歯周病を治すと 全身が健康になる 廣済堂健康人新書 豊山 とえ子 近藤隆一 本 通販 amazon

山田歯科医院blog ブログ jugem

山田歯科医院blog ブログ jugem

動画 マジでサボらないで 歯磨きを20年間しないとこうなるよ スパイシービュー

動画 マジでサボらないで 歯磨きを20年間しないとこうなるよ スパイシービュー

わたなべ歯科クリニック

わたなべ歯科クリニック

日本人の歯の色は海外の人より黄色い くろさわ歯科クリニック ブログ

日本人の歯の色は海外の人より黄色い くろさわ歯科クリニック ブログ

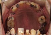
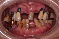
歯を全く磨かない人の結末は 中目黒の歯医者 山手通り歯科

歯を全く磨かない人の結末は 中目黒の歯医者 山手通り歯科

www seizando co jp

www seizando co jp

正しい歯周病ケアできてますか

正しい歯周病ケアできてますか

寝る前に歯を磨かない人は太っている ある傾向の人は虫歯に要注意 ニュースサイトしらべぇ

寝る前に歯を磨かない人は太っている ある傾向の人は虫歯に要注意 ニュースサイトしらべぇ

正しい歯磨き 歯垢をしっかり取り除く歯の磨き方とは mylohas

正しい歯磨き 歯垢をしっかり取り除く歯の磨き方とは mylohas

アンケート あなたは1日どのくらい歯をみがきますか apagard

アンケート あなたは1日どのくらい歯をみがきますか apagard

歯石

歯石

もしも 1ヶ月歯を磨かなかったら 落合歯科医院

もしも 1ヶ月歯を磨かなかったら 落合歯科医院

フロスは必要 東京都調布市の歯医者 歯科 柴崎駅5分の柳沢歯科医院

フロスは必要 東京都調布市の歯医者 歯科 柴崎駅5分の柳沢歯科医院

ビジュアル版 歯は磨かないでください バラエティ 豊山 とえ子 近藤 隆一 本 通販 amazon

ビジュアル版 歯は磨かないでください バラエティ 豊山 とえ子 近藤 隆一 本 通販 amazon

医療法人 徳真会グループ

医療法人 徳真会グループ

閲覧注意 20年間も歯を磨かないとこうなるって動画がマジでヤバい ガールズちゃんねる girls channel

閲覧注意 20年間も歯を磨かないとこうなるって動画がマジでヤバい ガールズちゃんねる girls channel

https www yamateavenue dent com column e6 ad af e3 81 bf e3 81 8c e3 81 8d e3 82 92 e3 81 97 e3 81 aa e3 81 8f e3 81 a6 e3 82 82 e8 99 ab e6 ad af e3 81 ab e3 81 aa e3 82 89 e3 81 aa e3 81 84 e4 ba ba e3 81 af e3 81 84 e3 82 8b e3 81 ae

https www yamateavenue dent com column e6 ad af e3 81 bf e3 81 8c e3 81 8d e3 82 92 e3 81 97 e3 81 aa e3 81 8f e3 81 a6 e3 82 82 e8 99 ab e6 ad af e3 81 ab e3 81 aa e3 82 89 e3 81 aa e3 81 84 e4 ba ba e3 81 af e3 81 84 e3 82 8b e3 81 ae

動物は歯を磨かない 歯の散歩道 長野県 佐久市 歯科

動物は歯を磨かない 歯の散歩道 長野県 佐久市 歯科

歯を磨かない男性はed 勃起不全 になりやすい トルコ研究 mirojoan s blog

歯を磨かない男性はed 勃起不全 になりやすい トルコ研究 mirojoan s blog

歯磨きしない子どもに毎晩疲れているお母さんがラクになれる小さな話 子どもが幸せになることば ダイヤモンド オンライン

歯磨きしない子どもに毎晩疲れているお母さんがラクになれる小さな話 子どもが幸せになることば ダイヤモンド オンライン

社会人のエチケット 歯磨きは1日に何回 自分の歯でずっと食べる為のホワイトニング手帖

社会人のエチケット 歯磨きは1日に何回 自分の歯でずっと食べる為のホワイトニング手帖

絶対歯磨きする必殺技 歯磨きって大切なの やまと式かずたま術 c キャラクトロジー 心理学 今ここを生きる 才能を活かして幸せライフ

絶対歯磨きする必殺技 歯磨きって大切なの やまと式かずたま術 c キャラクトロジー 心理学 今ここを生きる 才能を活かして幸せライフ

しらいし 矯正akiba auf twitter じつは大人でもほとんどの方が みがけているつもり です 特に日本人の中高年男性 朝は30秒 昼は 磨かない 夜は疲れて一応磨く このパターンが多いのが現実でしょう これだとほぼ確実にスメハラです こんな感じの歯肉の方が

しらいし 矯正akiba auf twitter じつは大人でもほとんどの方が みがけているつもり です 特に日本人の中高年男性 朝は30秒 昼は 磨かない 夜は疲れて一応磨く このパターンが多いのが現実でしょう これだとほぼ確実にスメハラです こんな感じの歯肉の方が

山田歯科医院blog jugem

山田歯科医院blog jugem

ここで歯周病とプラークについて簡単な実験を行ってみたいと思います 歯周ポケットを全然持たない人 当院の歯科衛生士さん と持っている人 つまり歯 周病の患者です当院の歯科技工士さん ではプラーク 歯に付いてくるバイキン はどれ位

ここで歯周病とプラークについて簡単な実験を行ってみたいと思います 歯周ポケットを全然持たない人 当院の歯科衛生士さん と持っている人 つまり歯 周病の患者です当院の歯科技工士さん ではプラーク 歯に付いてくるバイキン はどれ位

死に至るケースも 1週間歯を磨かないとどうなるの サンキュ

死に至るケースも 1週間歯を磨かないとどうなるの サンキュ

わたなべ歯科クリニック

わたなべ歯科クリニック

池田歯科大濠クリニック

池田歯科大濠クリニック

You May Like
hits counter